[뉴스레터 2026년 1월] Multiplex IHC 및 IHC 권장 1차 항체

2026-01-14

15524_3151317_1766389593037660593.gif
15524_1677039795.jpg
15524_3151317_1766970162535239598.jpg
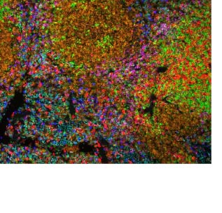
한 장의 조직에서 여러 마커를 동시에 확인하세요!
Multiplex IHC 및 IHC 권장 1차 항체

  • IHC-P 또는 mIHC validation 실험에 검증된 Recombinant monocloanl 항체

  • 동일 조직 슬라이드 내 여러 타겟의 동시 검출이 가능
  • 높은 재현성 및 Sensitivity, Specificity  

  • 다양한 multiplex imaging 플랫폼에 최적화 


15524_1711067293.jpg?ptu4vqqa
15524_3151317_1766458496779834950.png


Single Solution, Duo Action

Xpert Duo Inhibitor Cocktail Solution (100X)


  • 완벽한 보호 : Protease와 phosphatase inhibitor가 모두 포함된 하나의 cocktail 제품
  • 간편함 : liquid type으로 별도의 녹이는 과정없이 바로 사용 가능
  • 호환성 : AEBSF가 포함되지 않아 mass spectrometry (MS) 분석 가능

15524_1711067303.jpg
15524_3151317_1767159532206901211.jpg

InvivoGen은 다양한 종류의

Vaccine Adjuvant를 제공합니다.

 

  • Purity 및 Sterility 보장 
  • 전임상 연구에 사용 가능한 VacciGrade™ 제공
  • 다양한 종류의 Adjuvant를 제공 (Alum & emulsion, PRR agonist)
  • Adjuvant mix를 만들어 연구 가능

15524_3104099_1764551277621337111.jpg
15524_3151317_1767682746167448274.jpg
단백질 전기영동, ATTO와 함께 하세요~
Precast gel series

  • 단백질의 MW에 따라 적합한 제품 선택
  • 선명한 단백질 band (높은 resolution)
  • 균일한 품질과 높은 재현성 제공
  • 다양한 gel 농도 및 well 수
  • Mini size gel 구매 시 전기영동장치 (mPAGE) 대여 가능 (1개월)

15524_3151317_1767926090380648848.jpg
15524_3151317_1767926125555268279.png
Real-time Live cell Imaging System
JuLI stage

  • 실시간 이미지 촬영 및 분석
  • 표준 CO2 incubator 내 탑재
  • GFP/RFP/DAPI 및 Brightfield 이미지 촬영
  • Free-positioning 지원
  • 이미지 분석 및 영상 제작 가능

15524_3151317_1767926866933495800.jpg
15524_3151317_1767931452534417767.png
Tissue 내 다양한 세포들의 변화를 확인한다면?
Single cell RNA-seq

  • Cell polulation/heterogeneity 분석
  • Pseudotime 분석을 통한 상태 변화 추정
  • Immune repertoire 분석
  • Chromatin accessibility 확인
  • Tissue dissociation 의뢰 가능

15524_3151317_1767932625012459773.jpg
15524_3151317_1767935915201085945.jpg
RNAscope
조직 내 RNA 발현을 확인하세요.

  • 단일 RNA 분자 수준까지 정밀한 검출
  • 다양한 RNA 유형과 길이의 타깃 분석
  • 다양한 조직 및 유기체 샘플에 적용
  • 높은 민감도와 신뢰도, 낮은 background


homepage2-snsD.pngchannel-snsD.pnginstagram-snsD.png
15524_3085191_1762994117308252658.png
(주)다윈바이오
경기도 하남시 덕풍동 조정대로 150, 아이테코 601
Tel. 1588-9741  l  E-mail. dawinbio@dawinbio.com
TOP