

miRNAscope™ assay
miRNAscope™ - ASO, miRNA/siRNA 탐지를 위한 새로운 기술!
miRNA와 같은 non-coding RNA, siRNA 및 ASO(Antisense oligonucleotide) 와 같은 short nucleotide의 검출을 위해서는 최소한의 시간으로 민감도와 특이성이 높은 실험을 진행하여야 합니다. 일반적인 Microarray 나 PCR 기반 실험의 경우, 질병을 연구하는데 유용한 molecular profile을 제공하지만, 임상적으로 중요한 세포/조직 내 heterogeneity는 손실될 수 있습니다.
miRNAscope™ 분석법은 매우 민감하고 특이성이 높은 in situ hybridization assay로, ASO, miRNA, siRNA 및 기타 short nucleotide(17~50 bases)를 단일 세포 해상도로 온전하게 시각화할 수 있습니다.
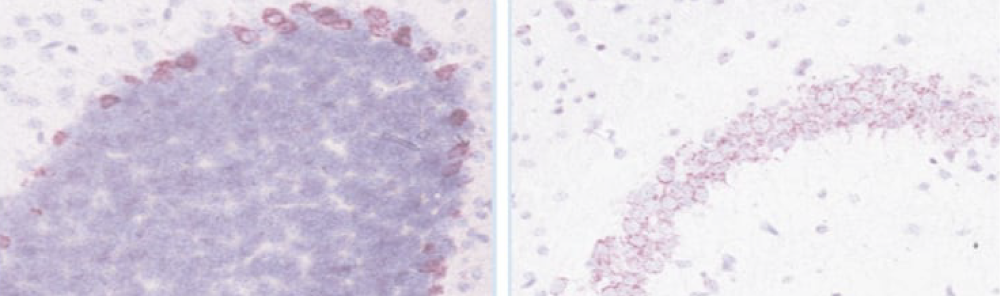
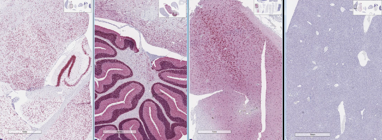
Mouse Brain | Rat Brain | Human Brain
| Mouse liver (NC)
|

|
Brain-specific miRNA을 검출하기 위한 miRNAscope assay 실험 결과 |
miRNAscope™만을 위한 ACD의 독자적인 probe

| - ASO, miRNA/siRNA 등을 검출하기 위한 새로운 probe design 방법 적용 - Short nucleotide(17~50 bases)에 효과적으로 결합 가능 - Cascade 기반의 amplification을 통해 고감도로 검출 가능 - Manual 방식 및 Automated 장비 모두 호환 가능 |
주요 제품 안내
|  |  |
| miRNAscope™ | RNAscope™ Plus |
| Target | small RNA (17~50 bases) ex. ASO, miRNA, siRNA | 1 small RNA + 3 mRNA |
| Detection | Chromogenic | Fluorescent |
| Mutiplexing | Single | 4-plex |
| Dye | Fast Red(ALP) | TSA Vivid Opal dyes |
| 적용 가능 platform | Manual 방식 Leica Bond Rx
| Manual 방식 Leica Bond Rx |
| ☞ 자세히 보기 | |
* 학술 문의: ACD 공식대리점 (주)다윈바이오
Tel. 031-728-3291, 3238 E-mail. technical@dawinbio.com
#Advanced Cell Diagnostics#ACD#ACDBio #Biotechne #RNAscope #ISH #In situ#Hybridization
miRNAscope™ assay
miRNAscope™ - ASO, miRNA/siRNA 탐지를 위한 새로운 기술!
miRNA와 같은 non-coding RNA, siRNA 및 ASO(Antisense oligonucleotide) 와 같은 short nucleotide의 검출을 위해서는 최소한의 시간으로 민감도와 특이성이 높은 실험을 진행하여야 합니다. 일반적인 Microarray 나 PCR 기반 실험의 경우, 질병을 연구하는데 유용한 molecular profile을 제공하지만, 임상적으로 중요한 세포/조직 내 heterogeneity는 손실될 수 있습니다.
miRNAscope™ 분석법은 매우 민감하고 특이성이 높은 in situ hybridization assay로, ASO, miRNA, siRNA 및 기타 short nucleotide(17~50 bases)를 단일 세포 해상도로 온전하게 시각화할 수 있습니다.
miRNAscope™만을 위한 ACD의 독자적인 probe
- Short nucleotide(17~50 bases)에 효과적으로 결합 가능
- Cascade 기반의 amplification을 통해 고감도로 검출 가능
- Manual 방식 및 Automated 장비 모두 호환 가능
주요 제품 안내
ex. ASO, miRNA, siRNA
Opal dyes
Leica Bond Rx
Leica Bond Rx
* 학술 문의: ACD 공식대리점 (주)다윈바이오
Tel. 031-728-3291, 3238 E-mail. technical@dawinbio.com
#Advanced Cell Diagnostics#ACD#ACDBio #Biotechne #RNAscope #ISH #In situ#Hybridization