

BaseScope™ assay
BaseScope™ 를 통해서 연구에 대한 새로운 통찰력을 얻어보세요!
BaseScope™는 단일 세포 수준의 민감도로 DNA mutation 및 RNA splicing variants 등을 확인할 수 있는 효과적인 실험 기법입니다.
ACD의 독자적인 "ZZ" probe 설계를 통해 target specificity를 제공하며, 강력한 signal amplification system을 통해 단일 RNA도 고감도로 검출하여 신뢰할 수 있는 결과를 제공합니다.
- 1 nucleotide의 차이도 구별이 가능한 높은 특이성 및 민감성
- 다양한 종류의 sample에 적용 가능 : FFPE tissue & cells, Fresh/Fixed-frozen tissues, cultured cells
- Target 및 Species에 구애받지 않는 맞춤형 실험
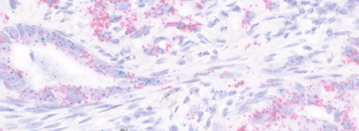
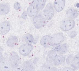
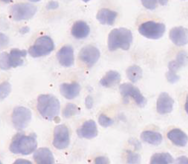
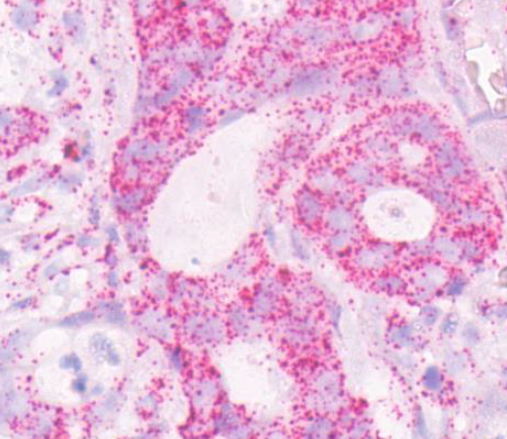
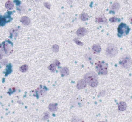
RNA splice variants | Circular RNA | Point mutations |
| 
| 
|
EGFRvIII (Glioblastoma) | DLGAP1 circRNA (Hippocampal CA3) | KRAS-G12C mutation (SW-1573 cell) |
ACD만의 독자적인 "ZZ" probe

| - 50 ~ 300 bp 의 RNA - 1~3개의 ZZ pair를 이용하여 short target에도 효과적으로 결합 가능 - Cascade 기반의 amplification을 통해 고감도로 검출 가능 - Manual 방식 및 Automated 장비 모두 호환 가능 |
주요 제품 안내
|  |  |
| BaseScope™ | BaseScope™ Duplex |
| Target | Exon junction/Splice variants/Point Mutation 50 ~ 300 bases |
| Detection | Chromogenic | Chromogenic |
| Mutiplexing | Single | 2-plex |
| Dye | Fast Red(ALP) | Green (HRP) Fast Red (ALP) |
| 적용 가능 platform | Manual 방식 Leica Bond Rx Ventana DISCOVERY ULTRA | Manual 방식 |
| | |
* 학술 문의: ACD 공식대리점 (주)다윈바이오
Tel. 031-728-3291, 3238 E-mail. technical@dawinbio.com
#Advanced Cell Diagnostics#ACD#ACDBio #Biotechne #RNAscope #ISH #In situ#Hybridization
BaseScope™ assay
BaseScope™ 를 통해서 연구에 대한 새로운 통찰력을 얻어보세요!
BaseScope™는 단일 세포 수준의 민감도로 DNA mutation 및 RNA splicing variants 등을 확인할 수 있는 효과적인 실험 기법입니다.
ACD의 독자적인 "ZZ" probe 설계를 통해 target specificity를 제공하며, 강력한 signal amplification system을 통해 단일 RNA도 고감도로 검출하여 신뢰할 수 있는 결과를 제공합니다.
ACD만의 독자적인 "ZZ" probe
- 1~3개의 ZZ pair를 이용하여 short target에도 효과적으로 결합 가능
- Cascade 기반의 amplification을 통해 고감도로 검출 가능
- Manual 방식 및 Automated 장비 모두 호환 가능
주요 제품 안내
50 ~ 300 bases
Fast Red (ALP)
Leica Bond Rx
Ventana DISCOVERY ULTRA
* 학술 문의: ACD 공식대리점 (주)다윈바이오
Tel. 031-728-3291, 3238 E-mail. technical@dawinbio.com
#Advanced Cell Diagnostics#ACD#ACDBio #Biotechne #RNAscope #ISH #In situ#Hybridization