

Abcam 지방간 대사 연구용 Assay Kit 절찬리 판매중!
3T3-L1 세포 기반의 지방간 대사분석을 위한 실험 kit를 찾고 계신가요?
Abcam의 검증된 kit는 지방세포 분화 유도부터 지방분해, 글리코겐 및 중성지방 정량 분석까지 폭넓은 연구를 지원합니다.
각 kit는 간편한 프로토콜, 고감도 분석, 재현성 높은 데이터 확보를 바탕으로, 기초 연구부터 약물 평가까지 다양한 목적에 적합 합니다.
Overview
*Cat No. 및 Product name을 클릭하시면 제품 상세 페이지로 이동합니다.
*ab287843, ab65620, ab65336 제품의 경우 국내 재고 보유 중입니다.
✔ 지방세포 분화(adipogenesis), 지방 분해(lipolysis), 또는 대사물질 분석을 연구하는 데 사용
✔ 대부분의 kit는 발색 또는 형광을 통한 농도 정량
✔ 분화된 세포 상태에 따라 정량값이 명확히 달라지므로, 약물 효과나 유전자 조절의 실험에 이상적
✔ 시약 조합 및 워크플로우가 최적화되어 있어 실험 시간 단축, 오차 감소, 재현성 높은 결과 확보
1. 3T3-L1 Differentiation Kit (ab287843)
- 원리: 3T3-L1 preadipocytes -> adipocytes로 분화 유도
- 프로토콜 요약: Day 0~3 분화 배지, Day 3~10 유지
A. 3T3-L1 preadipocyte 세포를 배양하여 100% confluent 도달 B. 2~3일 후 배지 교체 C. 7~10일 후 지방 세포 분화 완료 (lipid droplet 확인 가능)
- 적용 분야: 지방세포 모델 구축 - 측정 방법:
현미경으로 lipid droplet 형성 여부 관찰 이후 다른 kit와 함께 측정 연계 가능 (ex. Oil Red O 염색)
|  
|
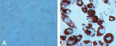
2. Adipogenesis Assay Kit (Oil Red O) (ab133102)
- 원리: 3T3-L1 preadipocytes를 지방세포로 분화 유도, Oil Red O 염색을 통해 분화 정도를 정량 분석 - 프로토콜 요약: Day 0~5 유도 → Day 7 염색 및 정량 A. 3T3-L1 세포에 배지 처리 (Day 0) ->인슐린배지 처리 (Day 3, 5)
B. Day 7 이후 Oil Red O 염색 → Dye 추출 → OD 490~520 nm 측정
- 적용 분야: 분화율 비교, 스크리닝
- 측정 방법:
현미경 및 형광 정량, 지방세포 전환률 분석
|   |
3. Lipolysis Assay Kit (Colorimetric) (ab185433)
- 원리: 분화된 3T3-L1 세포에서 지방분해 활성(Lipolysis)을 정량 분석
- 프로토콜 요약: Isoproterenol 1~3시간 처리 후 상등액 분석
Isoproterenol로 lipolysis 유도 → glycerol 방출 → OxiRed™ Probe 반응 → OD 570 nm 측정
- 적용 분야: 지방세포 전환률 분석
- 측정 방법:
Colorimetric 또는 Fluorometric |   |
4. Glycogen Assay Kit (ab65620)
- 원리: Glycogen을 포도당으로 분해 후 OxiRed 반응을 통해 정량
- 프로토콜 요약: 샘플 가열 → Hydrolysis → 정량Triglyceride → Glycerol + FFA 전환 후, Glycerol을 OxiRed™ Probe로 측정 (OD 570 nm 또는 형광)
- 적용 분야: 에너지 저장 분석 - 측정 방법:Colorimetric 또는 Fluorometric | 
 |
5. Triglyceride Assay Kit (ab65336)
- 원리: 세포, 조직, 혈청, 혈장, 소변 등에서 Triglyceride 정량 분석
- 프로토콜 요약: Esterase 20분 → Reaction Mix 60분 Triglyceride → Glycerol + Free fatty acids로 분해 이후 OxiRed 반응으로 중성지방 정량
- 적용 분야: 비만, 대사질환, 간질환, 에너지 대사 연구 - 측정 방법: Colorimetric 또는 Fluorometric |   |
학술 문의: Abcam 공식대리점 (주)다윈바이오
Tel. 031-728-3234, 3237 E-mail. technical@dawinbio.com 카카오톡 플러스친구 ID: abcam
#Abcam #다윈바이오 #assay kit #Adipogenesis #Lipolysis
Abcam 지방간 대사 연구용 Assay Kit 절찬리 판매중!
3T3-L1 세포 기반의 지방간 대사분석을 위한 실험 kit를 찾고 계신가요?
Abcam의 검증된 kit는 지방세포 분화 유도부터 지방분해, 글리코겐 및 중성지방 정량 분석까지 폭넓은 연구를 지원합니다.
각 kit는 간편한 프로토콜, 고감도 분석, 재현성 높은 데이터 확보를 바탕으로, 기초 연구부터 약물 평가까지 다양한 목적에 적합 합니다.
Overview
*Cat No. 및 Product name을 클릭하시면 제품 상세 페이지로 이동합니다.
*ab287843, ab65620, ab65336 제품의 경우 국내 재고 보유 중입니다.
✔ 지방세포 분화(adipogenesis), 지방 분해(lipolysis), 또는 대사물질 분석을 연구하는 데 사용
✔ 대부분의 kit는 발색 또는 형광을 통한 농도 정량
✔ 분화된 세포 상태에 따라 정량값이 명확히 달라지므로, 약물 효과나 유전자 조절의 실험에 이상적
✔ 시약 조합 및 워크플로우가 최적화되어 있어 실험 시간 단축, 오차 감소, 재현성 높은 결과 확보
1. 3T3-L1 Differentiation Kit (ab287843)
3T3-L1 preadipocytes -> adipocytes로 분화 유도
- 프로토콜 요약: Day 0~3 분화 배지, Day 3~10 유지
A. 3T3-L1 preadipocyte 세포를 배양하여 100% confluent 도달
B. 2~3일 후 배지 교체
C. 7~10일 후 지방 세포 분화 완료 (lipid droplet 확인 가능)
- 적용 분야:
지방세포 모델 구축
- 측정 방법:
현미경으로 lipid droplet 형성 여부 관찰
이후 다른 kit와 함께 측정 연계 가능 (ex. Oil Red O 염색)
2. Adipogenesis Assay Kit (Oil Red O) (ab133102)
- 원리:
3T3-L1 preadipocytes를 지방세포로 분화 유도,
Oil Red O 염색을 통해 분화 정도를 정량 분석
- 프로토콜 요약: Day 0~5 유도 → Day 7 염색 및 정량
A. 3T3-L1 세포에 배지 처리 (Day 0) ->인슐린배지 처리 (Day 3, 5)
B. Day 7 이후 Oil Red O 염색 → Dye 추출 → OD 490~520 nm 측정
- 적용 분야:
분화율 비교, 스크리닝
- 측정 방법:현미경 및 형광 정량, 지방세포 전환률 분석
3. Lipolysis Assay Kit (Colorimetric) (ab185433)
분화된 3T3-L1 세포에서 지방분해 활성(Lipolysis)을 정량 분석
- 프로토콜 요약: Isoproterenol 1~3시간 처리 후 상등액 분석
Isoproterenol로 lipolysis 유도 → glycerol 방출 → OxiRed™ Probe 반응 → OD 570 nm 측정
- 적용 분야:
지방세포 전환률 분석
- 측정 방법:Colorimetric 또는 Fluorometric
4. Glycogen Assay Kit (ab65620)
Glycogen을 포도당으로 분해 후 OxiRed 반응을 통해 정량
- 프로토콜 요약: 샘플 가열 → Hydrolysis → 정량
Triglyceride → Glycerol + FFA 전환 후, Glycerol을 OxiRed™ Probe로 측정 (OD 570 nm 또는 형광)
- 적용 분야:
에너지 저장 분석
- 측정 방법:Colorimetric 또는 Fluorometric
5. Triglyceride Assay Kit (ab65336)
세포, 조직, 혈청, 혈장, 소변 등에서 Triglyceride 정량 분석
- 프로토콜 요약: Esterase 20분 → Reaction Mix 60분
Triglyceride → Glycerol + Free fatty acids로 분해
이후 OxiRed 반응으로 중성지방 정량
- 적용 분야:
비만, 대사질환, 간질환, 에너지 대사 연구
- 측정 방법:Colorimetric 또는 Fluorometric
학술 문의: Abcam 공식대리점 (주)다윈바이오
Tel. 031-728-3234, 3237 E-mail. technical@dawinbio.com 카카오톡 플러스친구 ID: abcam
#Abcam #다윈바이오 #assay kit #Adipogenesis #Lipolysis